Que se passe-t-il chez le vétérinaire? 


Symptômes - Comment reconnaître une inflammation de l’oreille chez mon chien? 

Chaque chien réagira différemment en cas d’otite. Certains vont se frotter, se gratter ou secouer la tête ; d’autres seront plus en souffrance.

 

L’oreille peut être légèrement enflammée, le changement étant peine visible, mais elle peut tout aussi bien être extrêmement douloureuse, prendre une couleur rouge vif et présenter un écoulement malodorant.

Cette variété de signes et symptômes s’explique par l’existence de nombreux types différents d’otite et de nombreuses causes différentes. Certains cas d’otite se limitent à une inflammation bénigne, tandis que d’autres se compliquent d’une infection bactérienne résistante bien plus dangereuse..

Ces images illustrent différentes étapes et différentes formes d’otite.

Images (CWalker, ThePhotoVet)

Contactez votre vétérinaire dès que vous remarquez le moindre signe d'une infection de l'oreille chez votre chien.  Une intervention rapide est essentielle pour éviter une situation plus compliquée. Le degré d’inflammation a souvent une influence considérable sur la probabilité que votre chien se laisse examiner l’oreille ou accepte l’application d’un médicament. 

Historique – Depuis quand votre chien a-t-il des problèmes aux oreilles ?

Votre vétérinaire aura besoin d’un historique complet pour aller au fond du problème et programmer la suite des événements. Cette anamnèse peut être réalisée dès votre première consultation, mais il n’est pas inhabituel que cette discussion approfondie soit postposée à une visite de suivi afin d’orienter les étapes suivantes.

 

Votre vétérinaire vous posera des questions pour déterminer quand vous avez remarqué les symptômes pour la première fois et s’il s’agit d’un problème récurrent ou d’une première.

Si le problème est récurrent, votre vétérinaire souhaitera en savoir au sujet du dernier épisode en date et de sa prise en charge. Il est important d’informer votre vétérinaire de tous les nettoyants auriculaires ou médicaments prescrits antérieurement, y compris les gouttes auriculaires, les comprimés/solutions orales et injections, que votre chien a pu recevoir en traitement.

Il vous interrogera aussi sur les habitudes telles que les baignades ou les balades dans les hautes herbes, ainsi que sur la présence d’autres animaux dans la maison et sur votre stratégie en matière de protection contre les puces et les tiques.

Le vétérinaire vous posera aussi des questions sur l’état de santé général de votre chien et vous demandera si vous avez remarqué qu’il se gratte, se mord, se lèche ou se frotte à d’autres endroits du corps. Dites-vous bien que vous ne lui fournirez jamais trop d’informations : chaque détail a son importance!

Examen – Pourquoi est-il nécessaire d’examiner non seulement les oreilles, mais aussi d’autres parties du corps?

La discussion initiale sera suivie d’un examen clinique. Votre vétérinaire évaluera l’état de santé général de votre chien et il examinera sa peau et son pelage à la recherche de parasites ou de signes visibles d’un problème cutané plus généralisé, comme une maladie allergique de la peau ou un trouble hormonal.

Chez le chien, les signes d’une maladie allergique de la peau, une rougeur le plus souvent, se présentent généralement entre les coussinets (tant sur la face supérieure que sur la face inférieure de la patte), autour des yeux et de la gueule et au niveau des aisselles et de l’aine.

Aux premiers stades de l’otite, l’oreille et le conduit auditif externe sont rougis, et peut-être un peu gonflés, mais il n’y a généralement pas de signes de sécrétion ou d’écoulement. Lorsque la maladie progresse, l’oreille a l’air grasse et sale, elle est plus gonflée et plus douloureuse et vous pouvez même observer du pus malodorant dans le conduit auditif.

CWalker ThePhotoVet (Gauche)

Examen – Pourquoi est-il nécessaire d’examiner non seulement les oreilles, mais aussi d’autres parties du corps?

La discussion initiale sera suivie d’un examen clinique. Votre vétérinaire évaluera l’état de santé général de votre chien et il examinera sa peau et son pelage à la recherche de parasites ou de signes visibles d’un problème cutané plus généralisé, comme une maladie allergique de la peau ou un trouble hormonal.

Chez le chien, les signes d’une maladie allergique de la peau, une rougeur le plus souvent, se présentent généralement entre les coussinets (tant sur la face supérieure que sur la face inférieure de la patte), autour des yeux et de la gueule et au niveau des aisselles et de l’aine.

Aux premiers stades de l’otite, l’oreille et le conduit auditif externe sont rougis, et peut-être un peu gonflés, mais il n’y a généralement pas de signes de sécrétion ou d’écoulement. Lorsque la maladie progresse, l’oreille a l’air grasse et sale, elle est plus gonflée et plus douloureuse et vous pouvez même observer du pus malodorant dans le conduit auditif.

CWalker ThePhotoVet (au-dessus)

Otoscopie – Qu’est-ce que le vétérinaire peut détecter au moyen d’un otoscope?

Le vétérinaire utilise un otoscope (l’instrument utilisé pour visualiser le conduit auditif) pour examiner l’intérieur de l’oreille de votre chien. Cet examen est important pour observer d’éventuelles mites d’oreilles, pour détecter un corps étranger ou des nodules dans le conduit auditif, pour rechercher de possibles ulcérations susceptibles d’influencer le choix de traitement et pour visualiser le tympan. Un tympan percé peut rendre les choses plus compliquées et aura une influence sur le plan de traitement de votre vétérinaire.

Avant de réaliser une otoscopie, le vétérinaire devra souvent nettoyer l’oreille du chien. La douleur occasionnée par l’otite peut rendre cette tâche particulièrement difficile, et une sédation peut s’avérer nécessaire. Il est possible que l'on vous renvoie à la maison avec des analgésiques et des anti-inflammatoires pour soulager la douleur avant de procéder à l'examen.

Si le problème de votre chien a atteint un stade plus chronique, le vétérinaire devra probablement réaliser un flushing pour nettoyer l’oreille en profondeur, ce qui nécessite une anesthésie générale.

Otoscopie – Qu’est-ce que le vétérinaire peut détecter au moyen d’un otoscope?

Le vétérinaire utilise un otoscope (l’instrument utilisé pour visualiser le conduit auditif) pour examiner l’intérieur de l’oreille de votre chien. Cet examen est important pour observer d’éventuelles mites d’oreilles, pour détecter un corps étranger ou des nodules dans le conduit auditif, pour rechercher de possibles ulcérations susceptibles d’influencer le choix de traitement et pour visualiser le tympan. Un tympan percé peut rendre les choses plus compliquées et aura une influence sur le plan de traitement de votre vétérinaire.

Avant de réaliser une otoscopie, le vétérinaire devra souvent nettoyer l’oreille du chien. La douleur occasionnée par l’otite peut rendre cette tâche particulièrement difficile, et une sédation peut s’avérer nécessaire. Il est possible que l'on vous renvoie à la maison avec des analgésiques et des anti-inflammatoires pour soulager la douleur avant de procéder à l'examen.

Si le problème de votre chien a atteint un stade plus chronique, le vétérinaire devra probablement réaliser un flushing pour nettoyer l’oreille en profondeur, ce qui nécessite une anesthésie générale.

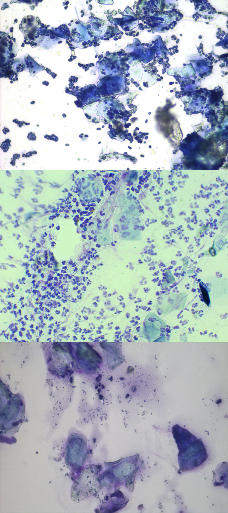
Cytologie – Pourquoi votre vétérinaire insiste-t-il pour faire une cytologie?

L’étape suivante consiste à prélever un échantillon d’éventuels débris présents dans l’oreille de votre chien afin de l’examiner au microscope.

Cet examen, connu sous le nom de cytologie, est un test simple et rapide, que votre vétérinaire peut directement réaliser au cabinet et qui l’aidera à détecter d’éventuels signes de prolifération de bactéries ou de levures.

Le vétérinaire utilise une brosse cytologique et un coton-tige, ou éventuellement un doigt ganté, pour prélever un échantillon dans l’oreille de votre chien et le déposer sur une lame de verre. L’échantillon est ensuite séché avec une solution de coloration pour permettre au vétérinaire d’examiner ce qu’il se trame dans l’oreille de votre chien au niveau microscopique. L’objectif de l’examen est de voir s’il y a une prolifération de bactéries ou de levures et de rechercher la présence de cellules inflammatoires qui sont invisibles à l’œil nu. 

Cytologie – Pourquoi votre vétérinaire insiste-t-il pour faire une cytologie?

L’étape suivante consiste à prélever un échantillon d’éventuels débris présents dans l’oreille de votre chien afin de l’examiner au microscope.

Cet examen, connu sous le nom de cytologie, est un test simple et rapide, que votre vétérinaire peut directement réaliser au cabinet et qui l’aidera à détecter d’éventuels signes de prolifération de bactéries ou de levures.

Le vétérinaire utilise une brosse cytologique et un coton-tige, ou éventuellement un doigt ganté, pour prélever un échantillon dans l’oreille de votre chien et le déposer sur une lame de verre. L’échantillon est ensuite séché avec une solution de coloration pour permettre au vétérinaire d’examiner ce qu’il se trame dans l’oreille de votre chien au niveau microscopique. L’objectif de l’examen est de voir s’il y a une prolifération de bactéries ou de levures et de rechercher la présence de cellules inflammatoires qui sont invisibles à l’œil nu. 

La cytologie permet à votre vétérinaire non seulement de choisir le traitement approprié, mais aussi de surveiller l’efficacité du traitement lors des visites de suivi et de l’adapter, si nécessaire. Sans oublier qu’elle l’aide à élaborer un plan à long terme pour la prise en charge des problèmes d’oreilles de votre chien.

Enfin, la résistance croissante aux antibiotiques que l’on observe dans le monde entier est encore un motif supplémentaire de mener des examens approfondis, y compris une cytologie. 

Les informations complémentaires fournies par la cytologie permettront à votre vétérinaire d’utiliser les antibiotiques :

  • uniquement dans les cas où ils sont nécessaires
  • pendant la durée strictement nécessaire

Les antibiotiques, c’est pas automatique  

Téléchargez la brochure pour plus d’infos 

Pourquoi les vétérinaires insistent-ils pour faire une cytologie?

Cultures et tests de sensibilité – Dans quelles situations peut-il être nécessaire de faire des cultures à partir d’échantillons prélevés dans l’oreille de mon chien?

Quand le traitement n’est pas efficace ou qu’il est difficile d’identifier les bactéries responsables à la cytologie, il est parfois conseillé d’envoyer un échantillon dans un laboratoire pour effectuer une culture bactérienne et tester les antibiotiques qui seraient appropriés. Mais, dans la plupart des cas, la cytologie fournit toutes les informations nécessaires.

Choix du traitement – Comment le vétérinaire choisit-il le traitement approprié pour mon chien?

Votre équipe vétérinaire dispose de tout un arsenal de produits pour traiter l’inflammation et l’infection de l’oreille : elle choisira l’option la plus adaptée à la situation spécifique de votre chien. 

Quels sont les traitements disponibles et quel est le meilleur traitement?

Le traitement consiste souvent en un nettoyant auriculaire ou une solution antiseptique, un anti-inflammatoire en gouttes auriculaires ou un médicament auriculaire contenant un antibiotique/antifongique.

Certains traitements s’administrent tous les jours à la maison, d’autres s’administrent au cabinet et ont une durée d’action plus longue.

Il arrive qu’un traitement systémique par voie orale ou en injections soit nécessaire et, si votre chien a une otite chronique, il peut avoir besoin d’une intervention chirurgicale.

Si le choix est si vaste, c’est parce qu’il n’existe pas de solution universelle pour l’otite chez le chien. Il est même possible que l’oreille droite et l’oreille gauche du même chien nécessitent une approche différente!

Pour décider du meilleur traitement à instaurer, votre équipe vétérinaire tiendra compte de tous les facteurs suivants:

  • le degré d’inflammation
  • les signes de prolifération de bactéries et de levures
  • les éventuelles recommandations nationales sur le choix des médicaments
  • votre situation et la situation de votre chien en ce qui concerne le coût et la facilité d’administration

Comme nous l’avons déjà souligné, chaque chien vit son otite à sa façon. Ce ressenti peut non seulement avoir une influence sur votre consultation au cabinet, mais votre chien peut aussi se montrer récalcitrant à l’application d’un médicament.

Le choix doit tenir compte du chien, bien sûr, mais aussi du propriétaire. Certains n’auront aucun souci à administrer un médicament et à nettoyer les oreilles de leur chien tous les jours. D’autres peuvent éprouver toutes les peines du monde à instiller un produit dans l’oreille ou à manipuler une petit gélule délicate. 

Si le médicament ne peut pas être administré correctement, non seulement le résultat ne sera pas atteint, mais en outre, le risque d’antibiorésistance augmentera. 

Comme vous pouvez le constater, votre vétérinaire doit considérer une montagne d’informations différentes avant de décider comment traiter votre chien au mieux. Vous pouvez lui apporter votre aide en décrivant clairement les inquiétudes que vous avez, en surveillant et en notant les signes du problème et en gardant une trace des réactions de votre chien aux éventuels traitements antérieurs. 

Cliquez ici pour télécharger un journal de bord qui vous aidera à surveiller les oreilles de votre chien


keyboard_arrow_up